无障碍浏览
特色医疗技术

当前位置:首页 > 医疗服务 > 特色医疗技术

【淋巴瘤及头颈肿瘤内科·医疗案例】从困境到曙光——复发难治淋巴瘤患者命运的转折

发布时间 :2024-11-18 16:26 | 来源:本网
  近日,一位复发难治淋巴瘤患者来院复查,在接受我院淋巴瘤内科专家团队针对性方案治疗两年后,持续处于完全缓解状态,病情得到长期有效管控。
  患者此前就医时因无法明确其淋巴瘤类型使得治疗缺乏针对性,导致病情一次次复发,慕名转诊至我院淋巴瘤内科何鸿鸣主任医师团队。接诊后,团队联合病理科、影像科以及彩超科协同合作,对患者病情抽丝剥茧,最终确诊为经典型霍奇金淋巴瘤多程治疗后进展,为后续的精准治疗奠定了坚实基础。

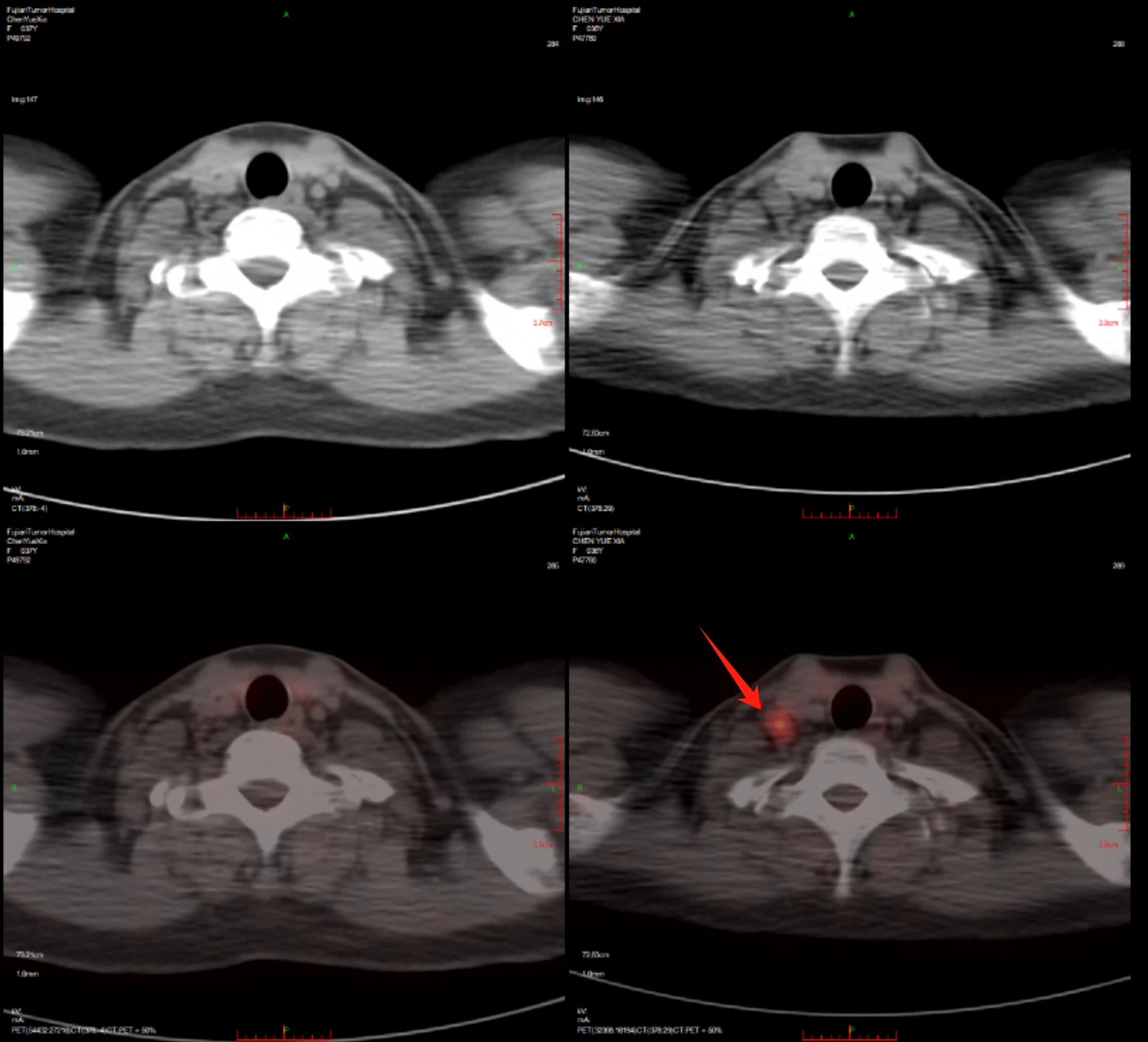
                             治疗后

治疗前                                     


  明确诊断后,团队仔细钻研病情,同时大量查阅最新文献指南。先是尝试免疫加靶向治疗(PD1单抗联合维布妥昔单抗),后又启用维布妥昔单抗联合苯达莫司汀方案,四个周期后患者达到完全缓解。接着,团队为患者实施自体干细胞移植治疗,并参考前沿文献开展靶向维持以巩固效果。近期随访显示,患者仍处于完全缓解状态,病情得到长期有效管控。
  何鸿鸣主任医师介绍,霍奇金淋巴瘤治疗目标是要争取治愈,其中70%-80%患者是可治愈的,但仍有20%-30%患者出现复发/难治。该例患者在诊断后经历多线化疗但仍旧出现疾病进展,属于复发/难治性患者。此类患者治疗存在诸多难点,我们根据患者具体情况,制定针对性方案,选择通过联合新药让患者达到完全缓解后桥接移植,以期获得更佳生存及预后。从诊断到治疗,淋巴瘤内科注重对患者的全程管理,为每一位患者制定更加精准的治疗组合,给患者带来更大的生存获益。
  
科室简介 
  福建省肿瘤医院于1994年在省内、甚至国内率先成立淋巴瘤亚专科,目前淋巴瘤亚专科开放床位55张,其中包括百级层流病房3张,科室在编医师16人、医学助理5人,其中博士4人、硕士5人,正高5人、副高7人;护士人员25人。每年收治淋巴瘤4500-6000人次,收治初诊淋巴瘤400-500人/次。近30年来,注重规范化、多学科诊疗模式,推行病理精准诊断下个体化诊疗,整体疗效不断提高。达到国内领先水平,为CSCO淋巴瘤诊疗中心。注重患者教育,为中国抗癌协会淋巴瘤科普教育基地;2023年参与CSCO淋巴瘤患者全程管理项目(全国225家医院淋巴瘤中心参与),并获得全国示范单位(示范中心28家医院淋巴瘤中心);2024年1月获得首批CSCO淋巴瘤规范诊疗中心授牌。我中心目前承担多项国际及国内临床试验。
附件下载:
相关文档