无障碍浏览
新闻中心

当前位置:首页 > 新闻中心

【胸部肿瘤内科&肿瘤与血管介入微创治疗中心】支气管动脉化疗栓塞术——破解晚期肺癌复发难治之困

发布时间 :2026-03-30 16:17 | 来源:本网
  近期,一例经综合治疗后复发的难治性肺癌患者,在我院胸部肿瘤内科与肿瘤与血管介入微创治疗中心医疗团队的联合诊疗下,肿瘤得到有效控制,充分体现了我院在复杂疑难肺癌综合诊治方面的专业能力。
  2024年10月,患者在我院确诊为左肺上叶鳞癌,肿瘤累及左主支气管及上下叶(T4N0M0 IIIA期,PD-L1 TPS=1%);同时既往有右上肺癌手术病史。此后接受化疗联合免疫治疗4周期,因出现免疫相关性肺炎,遂停用免疫治疗。去年3月至4月,其接受放射治疗,放疗靶区GTV1、GTV2分别为左肺支气管肿瘤原发灶及纵隔淋巴结转移灶,GTV-P照射剂量为DT60.2Gy/28F。
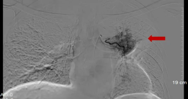
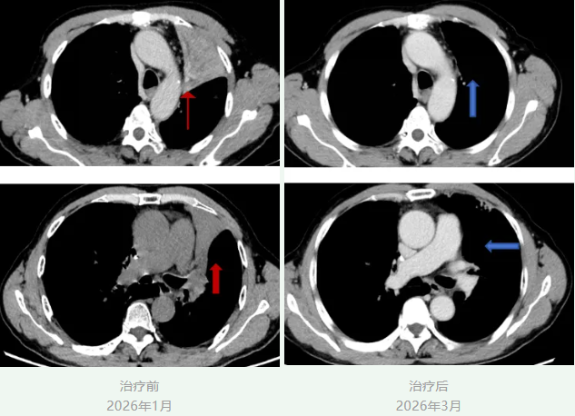
  今年1月,患者出现活动后气促不适,来院复查胸部CT提示左上肺不张;支气管镜检查显示左肺上叶支气管增厚,活检病理提示肿瘤复发。患者为局部复发,相关检查未发现其他部位转移。鉴于左肺病灶已接受局部放疗,且放疗后1年内肿瘤复发,短期内无法再次行放疗。经我院胸部肿瘤内科与肿瘤与血管介入微创治疗中心医疗团队联合会诊评估后,为其制定了个体化治疗方案——实施经导管支气管动脉栓塞化疗术。
 
 
 
  患者先后接受两次经导管支气管动脉栓塞化疗术。治疗后,患者活动后气促症状显著缓解;今年3月复查胸部CT显示,左上肺远端阻塞性炎症较前显著改善,病情得到控制。
 
 
  支气管动脉化疗栓塞术(bronchial artery chemoembolization,BACE)作为一种微创介入治疗手段,通过动脉导管向肿瘤供血动脉直接输注高浓度化疗药物,同时开展血管栓塞操作。作为一项相对成熟的姑息性微创治疗技术,BACE已被应用于肺癌的局部治疗。其治疗机制体现在:经肿瘤供血动脉(以支气管动脉为主)直接灌注化疗药物,既能提升肿瘤区域的药物浓度、增强细胞毒作用,又借助肝脏等器官的首过代谢显著降低全身循环中的药物浓度;同时,BACE具备血管阻断效应,通过栓塞材料堵塞肿瘤滋养动脉,促使肿瘤组织缺血性坏死。此外,该技术还拥有微创高效、损伤小、恢复速度快、可重复性强等显著优势。
  目前,由我院方主亭副院长带领的肿瘤与血管介入微创治疗中心医疗团队,联合胸部肿瘤内科何志勇主任团队正在开展一项“支气管动脉化疗栓塞术(BACE)联合治疗用于难治性复发晚期非小细胞肺癌(NSCLC)的单臂II期临床研究”。此项针对晚期非小细胞肺癌经标准治疗后复发的难治性患者开展的临床研究,旨在通过“支气管动脉化疗栓塞术”联合免疫治疗为该类患者提供切实可行的治疗方案。
  复旦大学附属肿瘤医院福建医院肿瘤与血管微创介入治疗中心是肝胆胰肿瘤诊治中心重要组成部分,是国家肿瘤区域医疗中心建设优先发展科室。是福建省内具有完善的肿瘤介入治疗体系的少数医院之一,临床,教学,科研同步发展,具有丰富的血管介入治疗手段的同时还有丰富的非血管介入治疗技术,常规开展肝动脉化疗栓塞术(TACE)、肝动脉持续灌注化疗术(HAIC)、肝动脉栓塞术(TAE)、肝动脉放射性栓塞术(钇90微球放射性介入治疗)、经皮门静脉栓塞术(PVE)、经皮食管胃底曲张静脉栓塞术(PTVE)、经皮脾动脉栓塞术(PSE)、经颈静脉门体静脉分流术(TIPS)、门静脉支架+125I粒子条植入术、胆道支架+125I粒子条植入术、射频消融术(RFA)、微波消融术(MWA)、经皮碘125放射性粒子植入术、经皮肝穿刺胆道引流管置入术(PTCD)、腔静脉支架植入术、髂静脉支架植入术,腹腔神经阻滞术、静脉输液港植入术、胸腹主动脉瘤及夹层腔内隔绝术、外周血管血栓机械取栓以及血管闭塞支架成型术等。对头颈部肿瘤、胸部肿瘤、肝胆胰脾肿瘤、消化道肿瘤、妇科肿瘤、软组织肉瘤、肿瘤相关血管疾病以及动脉瘤、动脉夹层、外周血管闭塞、动静脉血栓性疾病的介入治疗有丰富经验。
  福建省肿瘤医院胸部肿瘤内科下设3个病区、开设床位99张,主要收治肺癌、食管癌、胸腺瘤、恶性胸膜间皮瘤、纵隔肿瘤等胸部恶性肿瘤患者,年均收治患者17000余人次。经多年学科建设,已成为省内规模最大、技术力量最强、设备最先进的胸部肿瘤内科亚专科。目前治疗手段已涵盖各种胸部肿瘤尤其是肺癌、食管癌的化疗、免疫治疗、分子靶向治疗等抗肿瘤药物治疗及EBUS、TBNA、气道内支架置入术、内科胸腔镜、CT引导下经皮肺穿术等介入治疗,是省内能够系统综合诊治胸部肿瘤的少数亚专科之一,对各类胸部肿瘤尤其是疑难病例的诊治积累了丰富的经验。
  科室拥有一批业务精湛的医护人员,现有医师38名,其中主任医师6名、副主任医师14名,人才梯队合理、技术力量雄厚。科室是国内第一批癌痛规范化治疗示范病房单位、全国CINV管理示范病房、福建省抗癌协会肿瘤内科专业委员会主任委员单位、福建省抗癌协会肺癌专业委员会主任委员单位、福建省抗癌协会康复与姑息治疗专业委员会主任委员单位、福建省抗癌协会免疫治疗专业委员会主任委员单位、福建省抗癌协会肿瘤靶向治疗专业委员会主任委员单位、CSWOG肺癌专业委员会主任委员单位、福建省海峡肿瘤防治科技交流协会肿瘤临床研究协作分会、福建省基层卫生协会基层肿瘤防治分会主任委员单位、福建省基层卫生协会基层肿瘤精准诊疗专业委员会主任委员单位。科室多位专家均是晚期非小细胞肺癌抗血管生成药物治疗中国专家共识、肺癌多学科团队诊疗中国专家共识、CSCO肺癌诊疗指南、CSCO小细胞肺癌诊疗指南、CSCO食管癌诊疗指南等指南与共识的编委。近年来,在高质量完成临床工作基础上,积极开展临床研究。目前,科室承担了近200项国际或国内多中心临床研究项目,包括晚期肺癌一线免疫联合治疗,免疫耐药后的治疗,肺癌少见靶点靶向治疗,以及驱动基因阳性耐药后的治疗,新型的免疫治疗,ADC类药物的临床等等。努力为广大肺癌、食管癌等胸部恶性肿瘤患者提供最新的治疗手段和最优质的医疗服务。
 
  胸部肿瘤内科/供稿
  林景辉/文
  何志勇/审
附件下载:
相关文档