无障碍浏览
新闻中心

当前位置:首页 > 新闻中心

【鼻咽癌诊治中心】晚期鼻咽癌多次复发,综合治疗带来转机

发布时间 :2025-11-28 15:57 | 来源:本网

  日前,一位晚期鼻咽癌患者返院随访,自接受我院鼻咽癌诊治中心专家团队针对性方案治疗后,肿瘤得到控制,生活质量得到改善。

  2016年7月,患者因左侧耳鸣一个多月到医院就诊,经过一系列检查,最终确诊为鼻咽非角化性癌,分期为T3N1M0 Ⅲ期,属于局部晚期鼻咽癌。我院鼻咽癌诊治中心邱素芳主任医师团队接诊后,为其量身制定了“诱导化疗+同步放化疗+辅助化疗”综合方案,在放疗环节凭借精细靶区勾画与剂量调控,实现“精准打击”。治疗结束后复查,肿瘤已基本退缩。
  
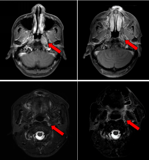
治疗前后鼻咽部病灶、咽后淋巴结病灶对比( 左:治疗前,右:治疗后)
 
  2018年2月,复查MRI提示颈部淋巴结复发,患者在我院接受了淋巴结清扫术;2020年1月,胸部CT提示肿瘤转移至双肺,病情出现进展。医疗团队启用“晚期肿瘤布拉格治疗”方案,这一创新疗法融合了精准的局部放射治疗、GM-CSF刺激骨髓抗原释放技术,并联合免疫治疗,三管齐下。在完成14个周期治疗后,肺转移灶的代谢活性显著降低。
  2024年,肺部转移灶出现进展,纵隔淋巴结转移和颈部淋巴结复发。邱素芳主任医师再次组织多学科会诊,为患者制定全新的治疗方案,将免疫治疗与精准的局部放疗相结合,并辅以口服化疗药物维持治疗。这种疗法副作用较小、疗效较持久。目前,其病情稳定,生活质量得到较大提高。
  
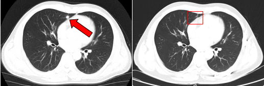
治疗前后的肺部转移病灶图像对比( 左:治疗前,右:治疗后)
 
  邱素芳主任医师介绍,鼻咽癌因其发病隐匿、易转移的特点,个性化诊疗和全程管理至关重要。为肿瘤患者制定“一人一策”的个体化方案,是实现长期生存的根本所在。以鼻咽癌为例,尽管其对放射治疗较为敏感,但一旦出现复发或转移,则需依据病情变化动态调整治疗方案。在鼻咽癌初治阶段侧重于根治性放疗,而在复发转移后则巧妙联合免疫治疗,以激活机体全身性抗肿瘤反应——这一策略正是精准医疗在临床实践中的生动体现。
  福建省肿瘤医院作为国内鼻咽癌诊治的高水平中心,依托其精准的放疗平台、成熟的多学科协作(MDT)体系以及贯穿始终的个体化治疗策略,助力更多患者获得长期生存。
 
  福建省肿瘤医院肿瘤放疗科鼻咽癌学科群是福建省规模最大的头颈临床专科放射治疗学科群,是国家临床重点专科(肿瘤科)建设项目单位主要学科群之一、福建省特色领先学科,福建省肿瘤医院临床重点专业科室,人才、设备、技术、科研、教学的实力达国内一流水平。开科40年来,科室积极开展鼻咽癌诊治科学研究,积极开展诊疗的各项新技术,使得鼻咽癌的疗效得到大幅提高。现设2个专科病区,110余张床位,拥有一支技术力量雄厚、临床经验丰富的专家队伍,共有主任医师9名(二级主任医师4名),副主任医师10名,博士生导师3名,硕士生导师6名,福建省高层次人才7名,享受国务院政府特殊津贴专家2人。目前,年接诊鼻咽癌病例约1000例,承担了全省约一半的鼻咽癌患者的放射治疗任务。
  来源:鼻咽癌诊治中心 海峡都市报翁友良 
  许梦婷/文
  邱素芳/审
附件下载:
相关文档